
医院案内
基本情報・診療時間・アクセス
| 所在地 | 〒807-1133 福岡県北九州市 八幡西区馬場山緑1-6 |
|---|---|
| TEL | 093-618-5123 |
| FAX | 093-618-6448 |
| 最寄り駅・アクセス情報 |
|
| 駐車場 | 駐車場20台完備 |
| 診療時間 | 月 | 火 | 水 | 木 | 金 | 土 | 日祝 |
|---|---|---|---|---|---|---|---|
| 9:00~12:00 | ● | ● | ● | ● | ● | ● | - |
| 14:00~18:00 | ● | ● | ● | - | ● | △ | - |
△... 17:00まで
今月の医師勤務カレンダー
施設・設備紹介
外観・内観

当医院は、一般的な医院の雰囲気とは違い、外観から民家のような雰囲気となっています。
「心が落ち着く雰囲気にしたい」という先代院長の強い思いから、長い軒が特徴的です。
明るく日光を取り入れすぎると交感神経が活発になり、時には落ち着いた診療に向き合えなくなる可能性もあります。
そこをあえて少し暗い雰囲気にすることで、家のような安心感の中で過ごしていただきたいと思っています。
内視鏡システム

口や鼻、肛門から挿入した細長いスコープで患部を診る「内視鏡検査」で使用す る機器です。レーザー光で病変を照らし、2種類の波長の光(BLI)や赤と白のコ ントラストを強調させる(LCI)機能を用いることで、小さな病変の観察を可能 にしています。
高周波治療器

高周波治療器とは、痛みや違和感がある患部に電気刺激を流して治療をする機器です。
これにより血行を促進し、痛みを和らげることができます。
マイクロ波治療器

マイクロ波治療器は、高周波治療器同様、物理療法で使用する機器です。
体内の水分にマイクロ波を当てて熱を作ることで、さまざまな効果(鎮痛、リラクゼーションなど)をもたらすことが可能です。
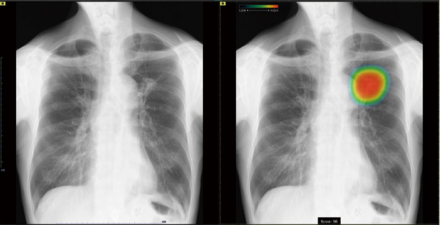
胸部レントゲン(AI機能付き)

胸のレントゲン検査にAI技術を導入しています。
当クリニックでは、胸のレントゲン検査(胸部X線)を受けていただいた際に、医師の目に加えてAI(人工知能)による画像チェックも行っています。
導入しているのは、富士フイルムの「CXR-AID」という医療用AIで、レントゲン画像から「肺の影」「炎症のような変化」「気胸(肺のしぼみ)」など、見つけにくい異常のサインを検出します。
医師が画像を読んで診断を行う際、AIが見つけた部分も参考にすることで、小さな病変の見落としを減らし、より正確な診断につなげることができます。
当院で行うすべての胸のレントゲンにこのAIチェックを行っています。
感染症対策
当医院では、感染症対策として、以下の取り組みを実施しています。
- 医療スタッフ全員が手洗い、アルコール消毒、マスク着用を徹底
- 患者様に触れる機会が多いドアノブ、手すり、治療機器などはこまめに消毒
- 待合室や病室には空気清浄機を設置し、定期的に換気を実施
当院のコンセプト・初めての方へ
ごあいさつ
1982年の開業以来、『放ったらかしにしない医療』を理念に、地域に根ざした医療を続けています。
内科や外科に加え、糖尿病外来や肛門疾患外来(痔核手術を含む)を設置し、最新機器を用いた内視鏡検査や各種検診にも注力し、自由診療やオンライン診療、訪問診療にも対応しています。
患者様一人ひとりに寄り添った医療を提供してまいりますので、何かお困りの際はお気軽にご相談ください。
地域に根ざしたクリニック

開業以来、民家のような佇まいで地域の方に安心して来院していただいています。
一般内科や外科、自費治療まで幅広く対応しています。
専門医による幅広い検査が可能

院長をはじめ、外科、消化器外科、消化器内視鏡、大腸肛門病、糖尿病などの専門医が在籍しています。
より的確で丁寧な治療が可能となっています。
患者様の負担を考えた診療

治療を始める前には患者様の状態をしっかりと診察し、ご希望を踏まえてできるだけ負担の少ない治療計画を提案いたします。
その内容に同意をしていただいて初めて治療を開始いたします。
オンライン診療を活用した診察

2023年7月からオンライン診療を実施しています。
通院が叶わない方はもちろん、お仕事の休憩時間や家事の隙間時間を利用して気軽に受診していただけます。
日帰り手術、訪問診療など幅広く対応

痔や粉瘤など、小手術であれば日帰り手術が可能ですので、気になる方は当院までお問い合わせください。
初めての方へ
「石橋医院」では、内科から外科まで幅広い診療科目に対応しています。
「ちょっと熱っぽい」や「怪我をしてしまった」というちょっとした体調変化も気軽に受診ください。
各種検査も随時行なっていますので、定期検診をしながら日々の健康を維持していきましょう。
肛門疾患や乳腺疾患については、女性医師も対応いたしますので、男性医師に抵抗がある女性の患者様もご安心ください。
ご予約について
2022年6月より電子カルテを導入し、診療を半予約制(受診時刻の目安をお伝えしますが、診療は来院順)とさせていただいておりましたが
2025年1月からは予約患者優先で診療させていただいております。
もちろん予約がなくても受診可能ですが、待ち時間が長くなる可能性がありますのでご了承ください。
また、受診された患者さんの病状(重症度など)により順番が前後することがありますので、こちらもご了承いただければ幸いです。
ご不便をおかけ致しますが。何卒ご理解とご協力をお願い申し上げます。
当院の施設基準について
当院では、安心・安全な医療を提供するために、厚生労働省へ届出を行った各種「施設基準」に基づいた体制を整えております。
詳細は以下をご確認ください
- 医療情報・通信技術を活用した取組に係る評価
オンライン診療やICTツールを活用した診療・情報共有体制が整備されている医療機関に適用されます。
- 医療情報・通信技術を活用した取組に係る評価
- 外来感染対策向上加算
院内感染を防止するための体制整備と、感染管理責任者の配置を行っている外来診療施設に加算されます。
- 外来感染対策向上加算
- 医療DX推進体制整備加算
オンライン資格確認・電子カルテ・レセプトオンライン請求等、医療DXに対応した体制を整えている医療機関に認められる加算です。
- 医療DX推進体制整備加算
- がん性疼痛緩和指導管理料
がんに伴う痛みに対し、適切な薬物治療や指導を行うための体制がある医療機関で算定できる加算です。
- がん性疼痛緩和指導管理料
- 在宅療養支援診療所3
24時間対応が可能な在宅療養支援体制を有し、重症患者にも対応可能な医療機関に認められます。
- 在宅療養支援診療所3
- 在宅患者訪問診療料の実績要件2
一定回数以上の訪問診療実績があることを示し、訪問医療の継続性が担保されていることを証明します。
- 在宅患者訪問診療料の実績要件2
- 特定疾患療養管理料対象の治療用プログラム使用
糖尿病や高血圧など慢性疾患に対し、ICTプログラム等を活用して指導・管理を行う体制に対して加算されます。
- 特定疾患療養管理料対象の治療用プログラム使用
- 在宅時医学総合管理料(在医総管)施設基準1
在宅患者に対して、計画的な医学的管理・24時間対応体制を備える医療機関に対して認められます。
- 在宅時医学総合管理料(在医総管)施設基準1
- 医療・介護連携体制加算
医療機関と介護サービス事業者の間で、適切な情報共有体制を構築している場合に算定される加算です。
- 医療・介護連携体制加算
- 在宅療養支援診療所(在総)
訪問診療・看取り対応・緊急往診が可能であり、地域の在宅療養支援に貢献する医療機関です。
- 在宅療養支援診療所(在総)
- 遠隔モニタリング加算
在宅療養中の患者に対し、ICT機器を用いてバイタルなどを遠隔でモニタリングし、管理している医療機関に対して加算されます。
- 遠隔モニタリング加算
- 外来在宅ベースアップ評価料(Ⅰ)
医療従事者の処遇改善や働き方改革に取り組む医療機関に評価される加算です。
- 外来在宅ベースアップ評価料(Ⅰ)
- 酸素単価
酸素を用いた治療における使用量の算定に用いられるもので、酸素療法の提供体制があることが前提となります。



